Дарья Александровна
Знаете, что самое приятное в моей работе? Видеть не просто ровные зубы на фото «После», а эмоции в глазах человека, когда он впервые видит свою новую улыбку.

Меня зовут Дарья Александровна, я врач-ортодонт. За каждым вашим «Вау!» стоит кропотливая работа: расчет биомеханики, подбор правильных сил и наблюдение за тем, как ваш умный организм откликается на лечение.

Я влюблена в свою профессию и ее возможности. И буду рада, если доверите мне свою улыбку 🤍
background
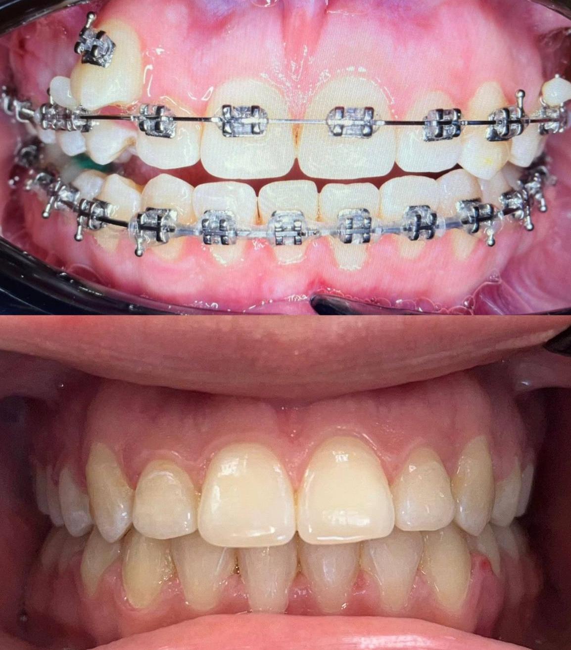
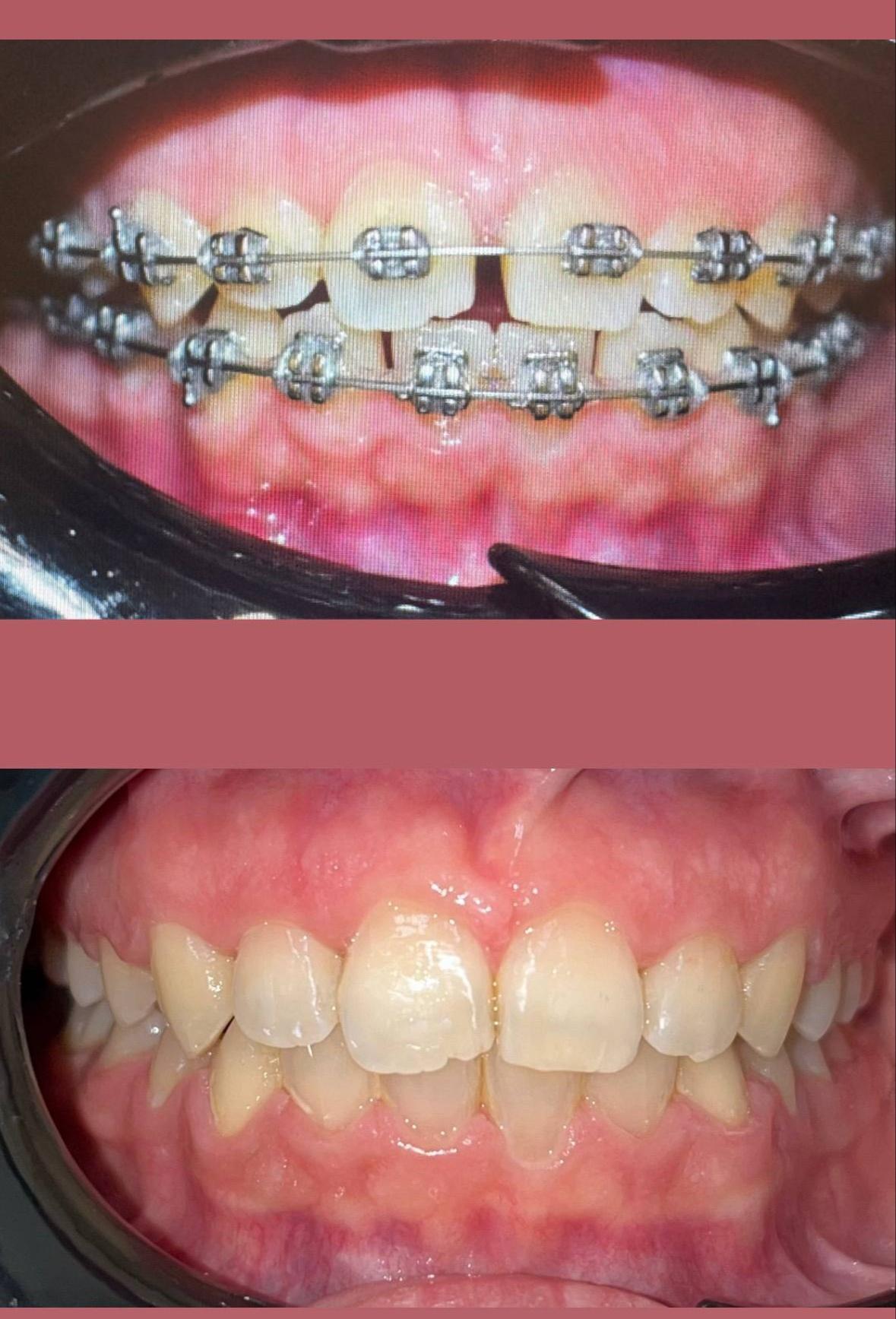
Случай, который выглядит как магия, но на самом деле — чистая биология 👆🦷

Глядя на фото «До», многие думают: «Как такой зуб вообще встал на место?». Но чудес в медицине не бывает. Бывает ювелирная работа врача и терпение вашего организма.



Диастема - не просто щель между центральными зубами

Классическая истинная диастема. Зубам мешает сомкнуться мощная тяжа уздечки верхней губы. Она прикреплена слишком низко и буквально вклинивается в шов между центральными резцами, не давая им стоять рядом.
Между корнями центральных зубов т есть костная перегородка. Пока зубы стояли порознь, кость была плоской. Когда мы начали движение, кость получила сигнал: «Нужно уплотниться!» — и сформировала новую, более узкую межкорневую перегородку. Здоровье десны напрямую зависит от того, насколько правильно сформировалась эта кость.