Залина
Меня зовут Залина, я гигиенист стоматологический. Я убираю то, с чем не справляется домашняя щётка: мягкий налёт, твёрдый камень, пигмент от кофе и чая. Работаю ультразвуком, Air Flow, полировочными щёточками и пастами оцениваю качество вашей домашней гигиены, подбираю щётку, пасту и ирригатор лично под вас. Учу чистить зубы правильно — не фанатично, но эффективно. Чтобы между визитами ко мне налёт не успевал превращаться в камень.
После меня зубы становятся гладкими, блестящими, без коричневого налёта и многолетнего груза.
background
Две истории

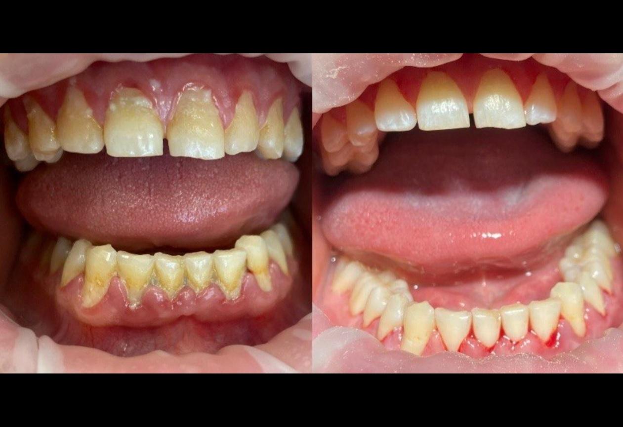
Случай 1. Пигментация от чая. Зубы казались серыми. Air Flow смыл налёт. Зубы оказались светлыми.

Случай 2. Камень на нижних зубах. Копился годами, пациент даже не знал, что это камень, думал — «цвет такой». Ультразвук всё убрал. Зубы стали чище на 100%..

Обычная гигиена — необычные результаты. Приходите, я посмотрю, что можно сделать для вашей улыбки.

Когда десна просит тишины
Представьте, что десна — это защитная стена. Если за ней долго не ухаживать, она начинает рушиться. При гингивите Венсана стена не просто краснеет — она теряет свою форму, становится рыхлой, болезненной.

Это не приговор, это сигнал. Сигнал, что организму нужна помощь.

Мы убрали налёт, который копился и отравлял жизнь десне. Промыли всё антисептиками. Назначили бережный уход. И через несколько дней стена восстановилась.

Теперь десна снова плотная, розовая и не болит.
background
Тёмный налёт

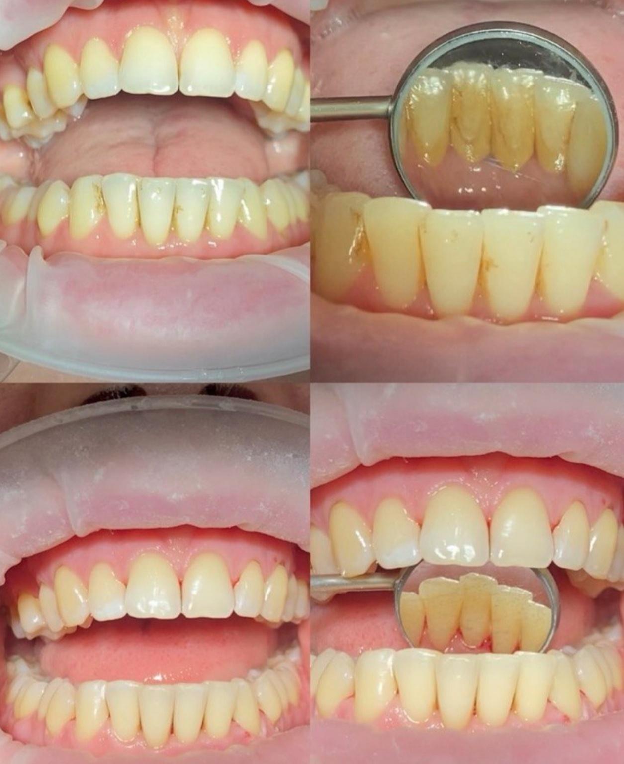
Бывает так что пациенты говорят: «Я боюсь улыбаться. Мои зубы выглядят так, будто я курю с рождения и пью кофе литрами»
В чём проблема? Обычная щётка здесь бессильна. Налёт уже не мягкий — он въевшийся, пигментированный, плотный, как старая затирка между плиткой. Его не счистить, его нужно смывать под давлением.

Я беру в руки аппарат Air Flow. Струя воды с мельчайшими частичками порошка под давлением ударяет по налёту и буквально сдувает его с эмали. Миллиметр за миллиметром.
После Air Flow — ультразвук, чтобы убрать то, что держалось особенно крепко. А потом — полировка, чтобы эмаль стала гладкой, как стекло, и налёту было сложно вернуться.

Зубы не стали белее — они стали собой. А оказалось, что «собой» — это светло и свежо.

Налёт - это не потому, что вы плохо чистите
background
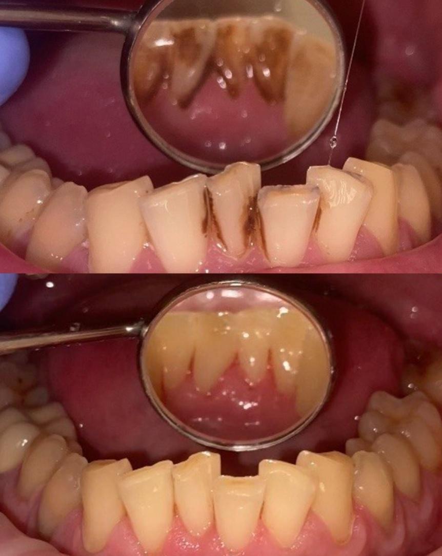
Посмотрите на фото «До».
Нижние передние зубы, внутренняя сторона. Классическая картина: плотный налёт, камень, пигментация. И почти каждый пациент в этом месте говорит одно и то же: «Я знаю, я тут плохо чищу, это моя вина».
А я каждый раз отвечаю: нет, это не ваша вина. Или не совсем ваша.
Вот что на самом деле происходит.
Прямо под языком, в области нижних резцов, открываются протоки поднижнечелюстных и подъязычных слюнных желез. Это самые активные железы во рту. Они вырабатывают основную массу слюны, а их протоки находятся буквально в нескольких миллиметрах от поверхности зуба.
Слюна — это не просто вода. В ней содержатся минеральные вещества, которые нужны для защиты эмали. Но у этой медали есть обратная сторона. Когда слюна застаивается, испаряется или меняет свой состав, её минеральные компоненты начинают выпадать в осадок прямо на поверхности зуба. И этот осадок — идеальная матрица для налёта. Он цепляется, уплотняется, превращается в камень, причём очень быстро.
То есть: налёт на нижних резцах появляется не потому, что вы ленитесь чистить зубы, а потому что анатомически это место — зона повышенного риска. Протоки слюнных желез работают круглосуточно, и они не спрашивают вашего разрешения.

Да, качество гигиены влияет на скорость роста камня. Но даже если вы будете чистить зубы три раза в день, этот участок всё равно будет самым уязвимым. Потому что природа так распорядилась.

Что я делаю. Я убираю то, что уже наросло. Ультразвук, Air Flow, полировка. А потом говорю пациенту: вы не виноваты, но теперь вы знаете своё слабое место. Уделяйте нижним резцам чуть больше внимания, пользуйтесь ирригатором, приходите на гигиену раз в полгода — и камень не будет успевать превращаться в проблему.

На фото «После» — те же зубы, но без налёта.