Владимир Александрович
Меня зовут Владимир Александрович, я врач-терапевт, хирург, имплантолог и ортопед одновременно. На самом деле это просто возможность видеть пациента не фрагментом, а целиком. Я не передаю его из рук в руки с риском потерять по дороге нюансы. Я сам веду от первого «ой, болит» до финального «спасибо, доктор, я ем яблоки».

Когда я лечу зуб терапевтически, я уже знаю, что через год ему может понадобиться коронка, и закладываю под это запас прочности. Когда удаляю безнадёжный зуб, я сразу думаю, куда встанет имплант и не сместится ли нагрузка на соседей. Когда планирую ортопедию, я помню, как резал десну и ставил этот самый имплант полгода назад. Это просто другой уровень включённости.
background
Непростой выбор
Здесь, казалось бы, обычная ситуация: старый моляр, старая пломба, тёмные края по периферии. Коричневый ободок, который пациент иногда списывает на налёт или «просто время пришло». Но за этим коричневым ободком пряталась история посерьёзнее.
Когда я убрал старую пломбу, открылось дно, которое могло испугать кого угодно. Кариозный дентин, размягчённый, тёмный, подбирался почти к самой пульпе. То есть к нерву, к сердцу зуба. Ещё пара месяцев, ещё одна жевательная нагрузка — и начался бы пульпит. А там либо боль, либо каналы, либо прощай, нерв.
И передо мной встал выбор: классический путь «перестрахуюсь и убью нерв» или путь «попробую сохранить».

Я выбрал сохранять.

Потому что живой нерв — это живой зуб. Это термометрия, это трофика, это сигнальная система, которая работает. Мёртвый зуб — уже просто конструкция. А здесь был шанс оставить зуб живым.
Я работал с увеличением, чтобы видеть каждый миллиметр дна. Убирал поражённые ткани максимально аккуратно, не вскрывая пульпу. Где-то оставил защитный слой, где-то обработал антисептиками, которые не агрессивны к нерву.
Потом — лечебная прокладка, которая стимулирует выработку вторичного дентина. Та самая «броня», которую зуб нарастит сам, если ему помочь.
Дальше — восстановление анатомии. Материал, форма, контакты, фиссуры. Чтобы зуб не просто «был», а работал, жевал, жил в прикусе.

На фото «После» — моляр, у которого нерв остался живым. Он не болит, не реагирует на холод, не напоминает о себе. Он просто жуёт, как и положено здоровому зубу. И при этом он свой, родной, с живым сердцем внутри.
Этот случай про врачебную сдержанность. Про то, что не всегда нужно идти по пути максимального удаления. Иногда достаточно остановиться на миллиметр раньше, чтобы сохранить то, что дала природа. И зуб скажет спасибо долгой и здоровой жизнью:
Анкер: Последний рубеж
На начальном фото — классическая картина: моляр, от которого остался только корень. Стенок нет, жевать нечем, стандартная рекомендация — удалять и ставить имплант. Но корни были живыми, крепкими, и я решил побороться.

В корневые каналы установили анкерный штифт — металлический каркас, который взял на себя нагрузку. Вокруг штифтов послойно восстановили коронковую часть современным композитом. Никаких коронок, никаких мостов, только свой корень и мои руки.

На фото «После» — зуб, который обречённо торчал из десны, снова в строю. Он жуёт, он живёт, он свой. Анкер — это не страшно, если знаешь, куда и зачем его ставить.

Сохранять сложнее, чем удалять. Но иногда оно того стоит:
Эстетика жевательного зуба
На фото «До» — моляр, который казался просто рабочим зубом. Но при ближайшем рассмотрении: чёрные точки на жевательной поверхности, на щечной стенке. Всё то, что не болит, но портит ощущение чистоты.

Я убрал старые пломбы, убрал пигментацию, убрал каждый тёмный миллиметр. Прошёлся по трём поверхностям: окклюзионной (жуём), щечной (видна при улыбке) и дистальной (контакт с соседом). Восстановил анатомию послойно, материалом Filtek Z550, с вниманием к каждому бугру.

На фото «После» — ни одной чёрной точки. Зуб выглядит так, будто его никогда не касался кариес. Чисто, свежо, анатомично.

Я за то, чтобы даже дальние зубы были красивыми. Потому что чистота не терпит исключений.
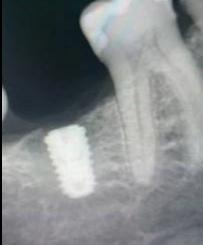
Протокол имплантации
На первом фото «До» — пустота. Отсутствует первый нижний моляр, шестой зуб, который несёт основную жевательную нагрузку. Пациент уже привык жевать на одну сторону, соседи начали потихоньку смещаться, антагонист сверху потерял опору и медленно полз вниз. Классическая картина: один зуб ушёл — и вся система поехала.

Дальше был план, диагностика, расчёты. И момент, который вы видите на втором снимке, — рентген с установленным имплантом. Это не просто "винтик вкрутили". Это хирургическая точность до миллиметра. Здесь важно всё: и ширина кости, и высота, и расположение относительно нижнелуночкового нерва, и угол наклона, чтобы будущая коронка встала идеально в прикус.

Самый интимный кадр — третье фото. Ушитая рана сразу после операции. Для кого-то это просто "шовчик", для меня — момент, когда самое страшное позади. Имплант стоит, кость его приняла, ткани аккуратно уложены на место, швы легли ровно, без натяжения. Теперь главное — покой и время. Природа должна сделать своё дело: кость должна срастись с титаном в единое целое, и через несколько месяцев на этом месте появится опора для новой коронки.