Левон
Меня зовут Левон, я гигиенист стоматологический, и моя работа — это не просто механика, а диагностика и профилактика, потому что именно с гигиены начинается по-настоящему здоровый рот и именно на ней держится результат любого лечения, будь то пломба, коронка или сложная ортодонтия.

Я оцениваю состояние десен, вижу то, что не видно в зеркало — поддесневые отложения, скрытое воспаление, зоны риска, и убираю не просто налет, а бактериальную биопленку, которая тихо разрушает то, что вы стараетесь сохранить. Работаю с ультразвуком, Air Flow, полировкой, реминерализацией, но главное — я подбираю систему ухода лично под вас, чтобы между визитами зубы оставались чистыми, а десны спокойными.

Я не люблю громких обещаний, я люблю результат, который видно по индексам и по тому, как выглядит и чувствует себя ваша улыбка, и если вам близок такой подход — буду рад помочь.

Ниже примеры моих пациентов.
background
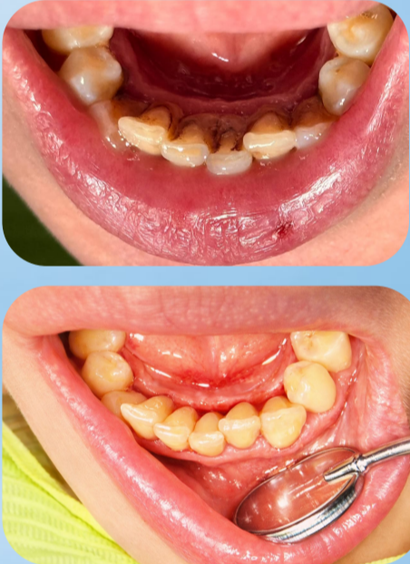
Пример проф. гигиены

Пациент обратился с жалобами на кровоточивость дёсен и неприятный запах изо рта. Мы провели профессиональную гигиену: аккуратно удалили зубные камни ультразвуком, очистили налёт и отполировали эмаль — дёсны стали здоровее, а улыбка заметно свежее

Пример лазерного отбеливания

Пациент обратился с желанием сделать улыбку светлее и избавиться от потемнения эмали Мы провели процедуру лазерного отбеливания — безопасно осветлили зубы на несколько тонов всего за одно посещение Улыбка стала ярче, а результат заметен сразу после процедуры. Преимущество лазерного отбеливания - отсутствие чувствительности после процедуры отбеливания.