Ирина Николаевна
Я лечу зубы так, чтобы вы не боялись.

Работаю аккуратно, с современной анестезией — никаких «потерпите, сейчас пройдёт». Если зуб можно спасти — я его спасаю. Если нужно лечить каналы — лечу так, чтобы больше не болело.

Мой принцип — сохранить своё везде, где это возможно. И сделать так, чтобы пациент не пожалел, что пришёл.
background
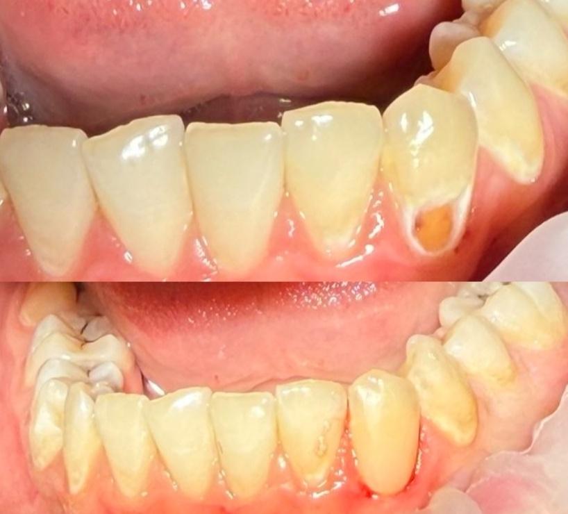
Спасение трёх

Посмотрите на фото «До». Три зуба, стоящих рядом: 43, 44 и 45. И каждый со своей историей боли и разрушения.
43-й зуб. Разрушен наполовину. Стенки ещё держатся, но уже с трудом.
44-й зуб. Самый страшный. От него остался практически только корень. Вокруг корня — тёмная пигментация, следы старого воспаления. Пациент думал, что этот зуб безнадёжен. Стоматологи до меня предлагали удалить.
45-й зуб. Циркулярный кариес — то есть кариес опоясал зуб по кругу, у самой десны. Зуб внешне ещё стоял, но уже "подточен" у основания.
Три зуба. Три разных разрушения. И одна задача — сохранить всё, что можно сохранить, и восстановить функцию и эстетику.
Я работала поэтапно. Каждый зуб — отдельная история.
44-й зуб (корень). Первым делом я провела эндодонтическое лечение — прошла каналы, обработала, запломбировала. Корень стал здоровой основой. Дальше — стекловолоконный штифт для опоры. И послойное восстановление коронковой части материалом Filtek. Зуба не было — зуб появился.
43-й зуб. Удалила старую пломбу, вычистила кариес, восстановила анатомию. Всё просто, но ювелирно.
45-й зуб. Самый деликатный. Циркулярный кариес — это когда поражена вся придесневая зона. Работать нужно было с максимальной аккуратностью, чтобы восстановить естественный контур зуба у самого края.
На фото «После» — три зуба, которые выглядят так, будто никогда не болели. Стоят ровно, контакт между ними идеальный, цвет естественный, десна спокойная. Пациент ушёл с сохранёнными зубами, хотя мог потерять два из трёх.


Пришеечный кариес

Это не пятно. Это не поверхностное потемнение. Это полость, которая съела почти половину зуба. Пришеечный кариес ушёл вглубь и вширь, подточив зуб у самого основания.
Я вычистила весь размягчённый, тёмный дентин до здоровых тканей. Полость оказалась огромной — почти вся передняя стенка отсутствовала. Дальше — адгезивная система, послойное восстановление композитом Filtek. Я выстраивала зуб заново, миллиметр за миллиметром, возвращая ему анатомию, форму и прочность.

На фото «После» — клык, которого почти не было, снова стал зубом. Цельным, крепким, живым.

Этот случай про то, что даже зуб, разрушенный наполовину, можно спасти — если вовремя прийти и довериться терапевту, который не боится сложных полостей.