Арсен Жирайрович
Меня зовут Арсен Жирайрович, я врач-стоматолог, и в моём кабинете терапия встречается с ортопедией. То есть я не просто ставлю пломбы и не просто делаю коронки — я занимаюсь восстановлением зубов под ключ, от первого касания бором до фиксации готовой конструкции.

Я не ортодонт, но в рамках ортопедической подготовки я могу менять положение зубов — наклонять, разворачивать, вытягивать. Через временные конструкции, через плановые коррекции, через терпение пациента мы вывели каждый зуб туда, где ему положено быть природой. Не брекетами, не долгими годами, а аккуратной ортопедической подготовкой.

background
Эстетическая реставрация переднего зуба

На фото «До» — классическая история, которая происходит незаметно. Старая пломба на апроксимальной поверхности двенадцатого зуба. Контактная стенка, та самая, которая смотрит в сторону соседа. Годами эта пломба жила своей жизнью: меняла цвет, давала микроподтекания, собирала налёт там, где его сложно вычистить щёткой. Внешне вроде бы и не криминал, но внутри уже начиналась история про то, что красивая улыбка невозможна наполовину. Если один зуб живёт своей жизнью, ансамбль рассыпается.

На фото «После» — эстетическая реставрация. Не коронка, не накладка, а именно родной зуб, к которому вернули его анатомию, его форму, его место в улыбке. Контактный пункт восстановлен идеально — теперь там не застревает еда, не скапливается налёт. Переход от пломбы к зубу не видит даже опытный глаз.


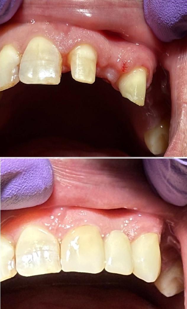
Эстетическая реставрация из диоксид циркония

Посмотрите на фото. Здесь нет двадцать второго зуба, он отсутствует. А соседи — двадцать первый и двадцать третий — остались. И перед нами стояла задача не просто «закрыть дырку», а сделать так, чтобы улыбка выглядела цельной, живой и гармоничной, будто природа изначально задумала именно так.

Мы пошли путём несъёмного протезирования с опорой на свои зубы. Двадцать первый и двадцать третий были препарированы под коронки из диоксида циркония. Но фишка даже не в материале, а в том, как мы выстроили конструкцию. Промежуточный зуб, тот самый отсутствующий двадцать второй, стал частью единого блока. Он не приклеен отдельно, он — продолжение общей системы, которая держится на двух подготовленных зубах, но выглядит так, будто здесь всегда стояли три родных брата.


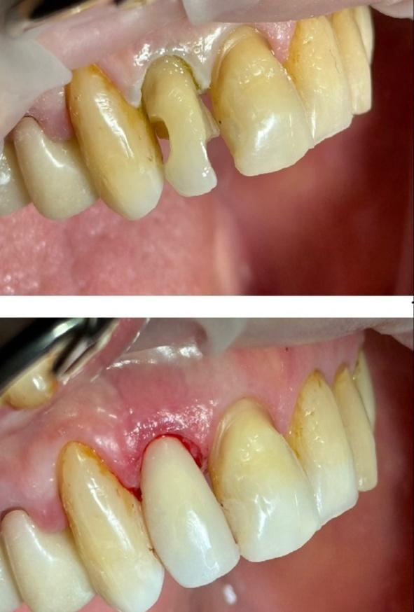
Восстановление моляра "с нуля"

На фото «До» — седьмой моляр. Стенок нет совсем, остался только корень, и тонкие намеки на то, что здесь когда-то был полноценный зуб. Пациент пришел не за сохранением, он пришел удалять. Потому что кто-то уже сказал: «Стенок нет, коронку ставить не на что, проще вырвать и поставить имплант».

Корень был живой. Он не шатался, десна вокруг него не кричала о воспалении, и я понял: мы можем попробовать. Не ради эксперимента, а ради того, чтобы человек остался со своим зубом, потому что свой — это всегда лучше чужого, даже самого технологичного.
Мы пошли путем реставрации с использованием стекловолоконных штифтов. Это не те страшные металлические штифты, которые работают как клин и убивают зуб изнутри. Современные СВШ — это эластичные, биосовместимые конструкции, которые распределяют нагрузку, а не бьют по корню как молотком. Мы зафиксировали их в корневых каналах, создав каркас, на который можно было опереться. И дальше началась ювелирка — послойное восстановление коронковой части зуба.


Восстановление премоляра "с нуля"

На фото «До» — классическая картина разрушения, которую я вижу почти каждый день.

На фото «После» — зуб, у которого не было будущего, снова в строю. Родной корень, родное место, естественная нагрузка. Никаких коронок, никаких мостов, никаких имплантов. Просто премоляр, который получил второй шанс.

Дефект IV класса по Блэку. Эстетическая реставрация 12 зуба

На фото «До» — двенадцатый зуб, боковой резец, с комбинированным дефектом четвёртого класса по Блэку. Если просто: скол затронул не только контактные стенки, но и режущий край. Это та самая история, когда зуб вроде бы есть, но уголок улыбки уже не тот — нарушена геометрия, линия режущего края стала рваной, и ансамбль передних зубов рассыпался.

На фото «После» — двенадцатый зуб вернулся в строй. Контактные пункт восстановлены идеально, режущий край продолжает линию соседей, цвет не кричит «я пломба». Улыбка снова звучит в унисон. Материал — Filtek, эстетическая линейка.