Андрей Владимирович
Меня зовут Андрей Владимирович, я главный врач этой клиники.
В стоматологии я не первый год, и за это время понял одну простую вещь: хорошая клиника — это не дорогой ремонт и не самое современное оборудование само по себе. Это люди, которые здесь работают, и система, в которой они не боятся брать на себя ответственность.
Моя роль — сделать так, чтобы каждый пациент попал в правильные руки. Чтобы лечение было не лоскутным одеялом из разных мнений, а единым маршрутом, где все этапы продуманы заранее.


background
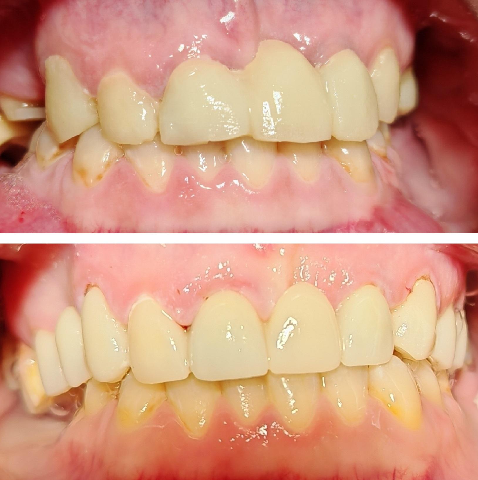
Работа с диоксидом циркония

Фото до: неровные пластмассовые коронки, несовпадение средней линии.

Финал — диоксид циркония. Физиологическая компенсированная окклюзия. Даже при таком прикусе зубы стоят там, где им положено природой, и нагрузка распределяется правильно.


Скрытый кариес

На фото «До» — зуб, который пациент считал здоровым. Ни чёрных точек, ни боли, ни жалоб, имеется конечно старая пломба, но она целая и кажется что простоит еще много лет . Но — кариес прятался в контактной зоне, между зубами(стрелочка).

Это апроксимальный кариес. Самый незаметный и самый опасный. Он не болит, пока не доходит до нерва. А если доходит — тогда уже потребуется лечение каналов, а не просто пломба.

Я открыл доступ, вычистил всё до здоровых тканей, восстановил зуб с идеальным контактом. На фото «После» — здоровый моляр, который никогда не узнает, как близко был к пульпиту.

Дисколорит

На фото «До» дисколорит — необратимое изменение цвета эмали и дентина.
Я выбрал путь радикального и надёжного решения — коронки из диоксида циркония на оба центральных зуба. Почему цирконий? Потому что он непрозрачный. Он способен перекрыть любой, даже самый тёмный дисколорит, не просвечивая серым, как это иногда случается с менее плотной керамикой.
Кроме того он биосовместимый.

На фиксации я посадил коронки на специальный цемент. Проверил прикус, контакты, край у десны — всё должно быть герметично, чтобы под коронку никогда ничего не затекло.
На фото «После» — два центральных зуба, которые выглядят так, будто их никогда не касалась болезнь. Они светлые, живые, естественные. Пациент улыбается широко, не прячась, не стесняясь.